Welcome to Dr. Souto's Quick Bleach
Dental Office

Providing professional dental care for your smile.

We prioritize your oral health with state-of-the-art technology and a patient-first approach.

Visit us for a routine check-up or a complex procedure and rest assured you’re in caring hands.

What We Can Do for You

Maintain

We want to be your partner in dental health. Visit us to keep your mouth in tip-top shape.

Enhance

A radiant smile reflects inner beauty and confidence. We help you achieve your dream smile.

Restore

Implants, root canals, dentures, and customized treatments will give your smile a second chance.

Get Help

Do you have a dental problem that needs immediate attention? Count on us, we’re here to help!

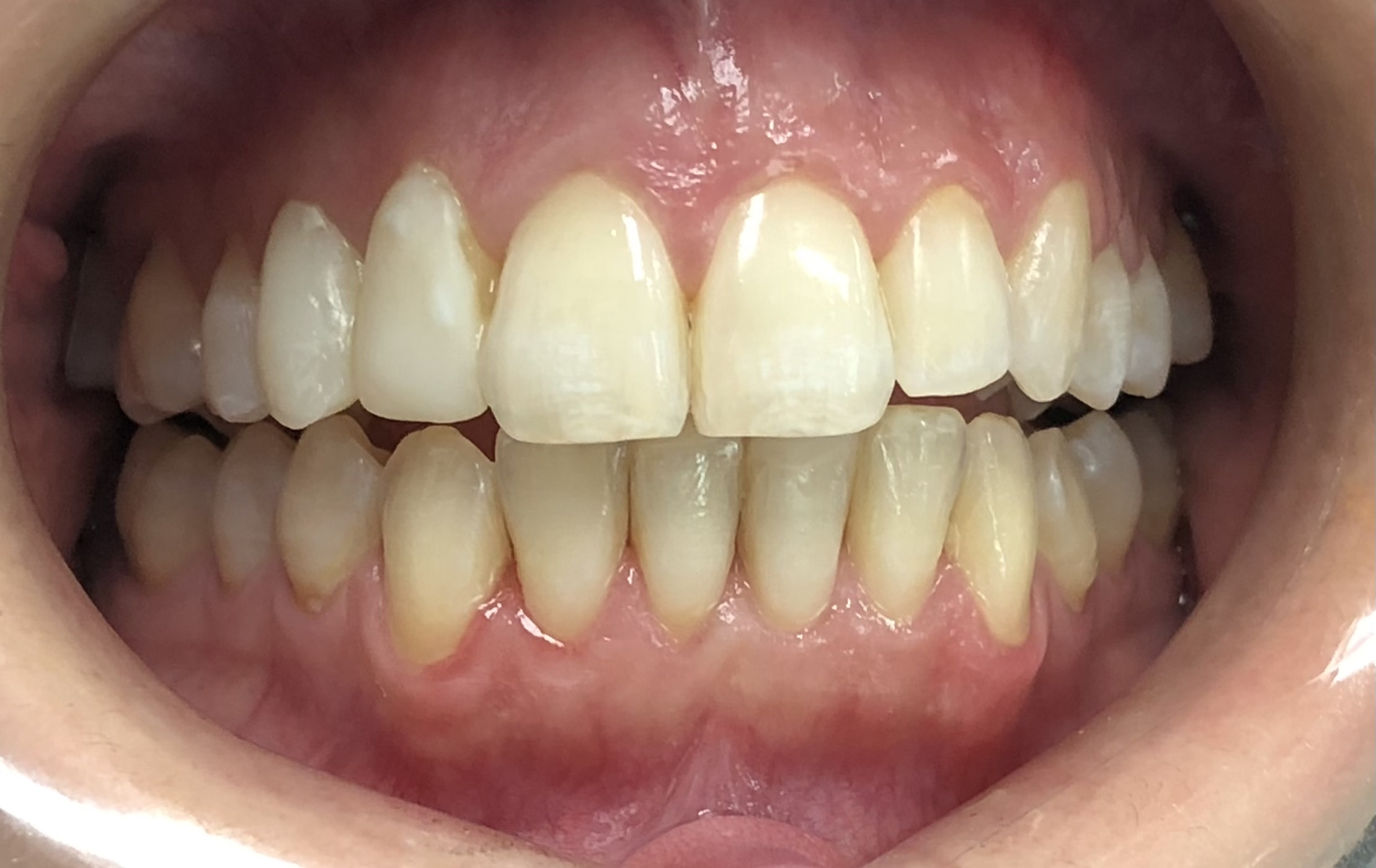
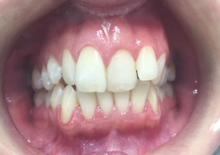
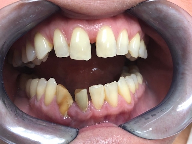
Before and After Treatments

Teeth Whitening & Invisalign

Before Whitening After Whitening

Dental Implants & Composites

Before Implants After Implants

Meet Our Staff

Staff Image

Our highly trained and experienced staff members are committed to providing exceptional dental care. With certifications in the latest dental techniques and a passion for patient comfort, they ensure you receive the best treatment possible. From our receptionists to our dental hygienists and specialists, every team member works together to make your visit seamless and pleasant.

Find Us

120 East 56th St, New York, NY, 10022

Suit 730 - 7ᵗʰ Floor

Contact Us

To schedule an appointment, please contact us by phone:

Phone: (212) 308-5577

(212) 889-1313


Office Hours

Monday - Thursday: 9:00 AM - 6:00 PM

Friday - Sunday: Closed

Insurances We Accept

We accept a wide range of insurances to cover your needs.

Insurance 1 Insurance 2 Insurance 3 Insurance 4 Insurance 5 Insurance 6 Insurance 7

Plus some PPO (Preferred Provider Organization) Insurance plans

Insurance 8